放射線室
紹介・取り組みCT検査に関する注意事項一覧に戻る
CT検査とは
CT(Computed Tomography:コンピュータ断層診断装置)検査は、薄い円筒形の装置に入り、X線を利用して身体の断面を撮影する検査です。
- X線を使用するため被ばくはありますが、レントゲン検査と違い、体の輪切り像など任意断面の観察が可能です。
- 被ばく量は機器の進歩などにより、昔と比べて1/3程度になっています。
- 検査時間は、10~30分程度です。
- 検査部位によっては、息止めが必要となります。
- 検査中は画像に乱れが生じるため、体を動かさないでください。
放射線の影響について
放射線の受けた量が100ミリシーベルト未満であれば、放射線検査を受けた人も受けなかった人も、発がん率や遺伝的な影響の差はないと言われています。
当院のCT検査は、国内基準より放射線の量を抑えて検査をおこなっています。
CT検査で用いる放射線の量について
通常のCT検査で、100ミリシーベルトを超えることはありません。
また、小児の場合は、体格を考慮し大人よりも少ない放射線量で撮影しています。
CT検査におけるX線量と実効線量(国内基準と当院の比較)
*1実効線量:人体が放射線をうけた時、体全体へのダメージの合計を表したもの。
造影検査について
造影剤について
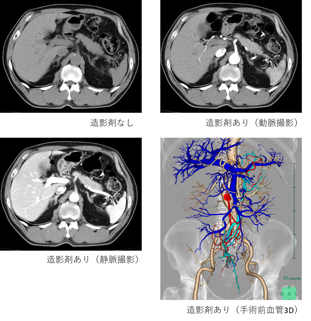
臓器や血管にコントラストをつけ、病気を見つけやすくするために使用するお薬です。造影剤を使用した画像データから腹部・心臓3D血管画像等の作成が可能となります。使用後、約1日で腎臓から尿中に排出されますが、まれに他のお薬と同様に副作用が起こることもあります。




造影検査時の注意事項
検査前
- 気管支喘息・アレルギー・造影剤による副作用既往の方、腎機能障害の可能性のある方は、スタッフにお申し出ください。
- 食事制限の詳細は、予約票の【食事・水分・薬について】の欄をご参照ください。
- 過度の水分制限は、副作用を誘発しますので適度にお取りください。(お水・お茶など300ml程度。ただし乳製品を除く。)
- 処方されているお薬は、お飲みいただいて結構ですが、糖尿病薬の一部には、ヨード造影剤との併用で副作用の発生確率が上がることがあります 。
(詳しくは主治医とご相談ください。※1)
※1 副作用の発生確率が上がる糖尿病薬についてはこちら
検査中
- 検査中は、スタッフが常に観察していますので、何か異常を感じましたら我慢せずお伝えください。
- 重篤な副作用が発生した場合は、医師・スタッフが適切な処置をおこないます。
検査後
- 副作用の大半は、使用直後から数分以内に起こる急性副作用ですが、ご帰宅後に起こる遅延性副作用もあります。
- 遅発性副作用防止のため、普段より多めに水分をお取りください。(造影剤は、尿として排泄されます)
- 帰宅後、気分不良・発疹など体に異常を感じましたら、遠慮なくご連絡ください。
- 授乳中の方は、24時間お控えください。
- 入浴・軽い運動は、ほぼ支障はありません。
造影検査について、ご不明な点がございましたらご相談ください。
泉大津急性期メディカルセンター 放射線室 TEL:0570-02-1199(ナビダイヤル)
造影検査時の副作用について
造影CT検査時における副作用の頻度について
| 軽い副作用 | 重い副作用 | 極めて重い副作用 | |
|---|---|---|---|
| 症状 |
吐気・嘔吐・かゆみ・発疹・動悸・頭痛など | 呼吸困難・意識消失・血圧低下・急性腎不全など | 死亡 |
| 頻度 | 約100人に3人(3%程度) | 約1万人に4人(0.04%程度) | 約10~20万人に1人(0.001%程度) |
| 治療 | ・基本的に治療は不要 ・状況に応じて、治療要 |
・治療が必要 ・後遺症が残る可能性あり |
- 造影検査問診票の同意サインはいつでも撤回可能です。主治医とご相談ください。
- 検査中は看護師・技師が注意深く観察し、何か異常があればすぐに対処できるよう備えています。安心して検査をお受けください。
その他
検査のキャンセル・変更について
受付時間.午前9:00 ~ 午後5:00まで(月~土)
TEL.0570-02-1199






