放射線室
検査について各検査の紹介一覧に戻る
MRI
MRIは、強力な磁石を使った検査で大きな筒状の装置に入って検査をおこないます。 脳梗塞や脳出血を発見することができる検査です。
CT
CTは、X線を使って体の断面を撮影します。数秒で多くの写真を撮ることができて病気の早期発見にも役立ちます。
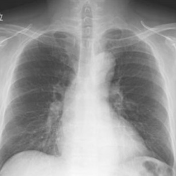
一般撮影
フラットパネルシステムが導入され、画質が向上し、被ばく線量の低減(従来の約40%カット)も図ることができました!


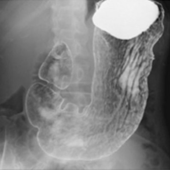
X線透視検査
X線をTVモニターに映像化し、リアルタイムの動画を見ながら検査や治療をおこなっています。バリウム検査や内視鏡検査、骨折整復などで使用しています。




骨密度測定
腰椎および大腿骨頚部を直接測定することにより、骨の異変を早期に検知することができます。
イメージ / ポータブル
検査室まで移動することのできない患者さんに対してレントゲン検査をおこないます。








